13780009482
服务临床  惠及民生

细胞模型|耐药细胞株构建技术服务

细胞模型|耐药细胞株构建技术服务

1. 服务介绍 (Service Overview)

1.1 基本介绍

肿瘤细胞对化疗药物产生耐药性是肿瘤治疗失败的重要因素之一。体外建立肿瘤细胞耐药模型是研究肿瘤多药耐药(MDR)的重要手段。耐药细胞株的构建就是诱导肿瘤细胞对特定药物产生耐药性,杀死敏感细胞,从而构建对特定药物产生耐药性的肿瘤细胞株,随后具有抗性的细胞经大量繁殖后,产生具有特定药物抗性的后代,使得药效大幅度下降。

耐药株.jpg

1 耐药细胞株构建流程(Amaral et al., 2019


已知的体外建立耐药细胞株主要有以下几种方式:大剂量药物冲击法、药物浓度递增法、药物浓度递增与大剂量药物冲击相结合法、转基因结合药物筛选法,也有人采用逆转录病毒转染法。

2. 耐药倍数鉴定

2.1细胞耐药性鉴定

l耐药倍数鉴定: 选用MTTCellTiter-GloCTG)发光法等鉴定方法,检测药物对亲本细胞和耐药细胞的IC50值,计算耐药指数(RI),RI>3则认为耐药性符合要求。

l耐药相关蛋白鉴定:可选取Western blotPCR、流式细胞术(FCM)、免疫学等多项鉴定方法。常用检测指标主要有P-糖蛋白(P-gp)、多药耐药蛋白1MDR1)等。

3.我司采取的耐药细胞构建方法

3.1药物浓度递增法

优点:诱导耐药细胞的药物剂量循序渐进,细胞培养的外环境逐渐改变,细胞较易耐受,状态较好;

缺点:诱导耐药过程耗时很长,且其化疗药物的作用方式与临床上化疗药物大剂量短疗程的化疗原则存在一定差异。

3.2大剂量药物冲击法

优点:与临床上大剂量化疗药物冲击的治疗方式相接近;

缺点:药物浓度高,细胞由于外环境骤变,可能难以耐受,细胞状态较难控制,且耐药性能不稳定。

4.服务流程

客户在线下单——订单/实验材料确认——细胞培养——调整细胞状态——细胞加药处理——耐药细胞株筛选——细胞耐药性鉴定——结果交付

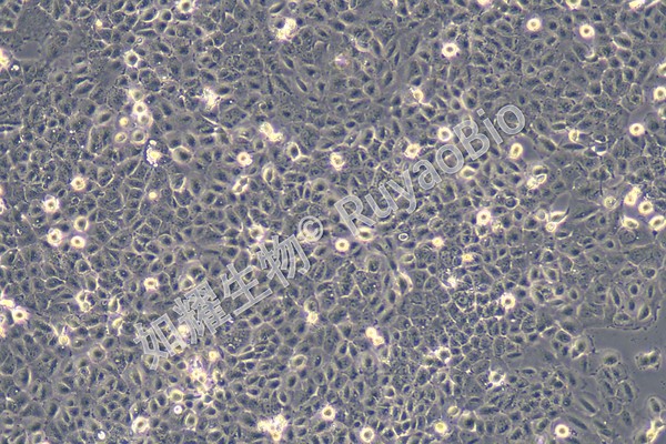
RY-H0181-3.jpg

人肝癌阿奇霉素耐药株

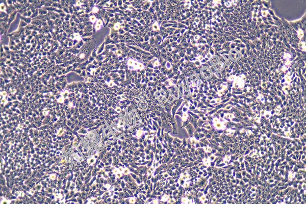
RY-H0115-3.jpg

人卵巢癌顺铂耐药株

5.服务内容及说明

5.1适用范围

不同肿瘤细胞对不同化疗药物耐药株的筛选。

6.实验交付与标准

1、所有实验的原始数据(包括实验过程、实验试剂与设备等);

2、鉴定报告与结果分析(包括耐药指数、细胞形态图、qRT-PCR与蛋白鉴定等);

3、耐药细胞株以及亲本细胞株各2份。

7.客户下单及项目信息填写

在我司官网http://www.ruyaobio.com/按照页面提示填写项目名称、选择项目类型、填写个人信息及联系方式,提交项目所需要的具体信息,或直接联系我们,技术顾问:13780009482 | bioslu@163.com



地址:浙江省宁波市江北区扬善路36号8楼
电话:13780009482   叶博士
友情链接:
服务临床  惠及民生